O tratamento que harmoniza o seu sorriso rapidamente e sem precisar cirurgias ou aparelhos

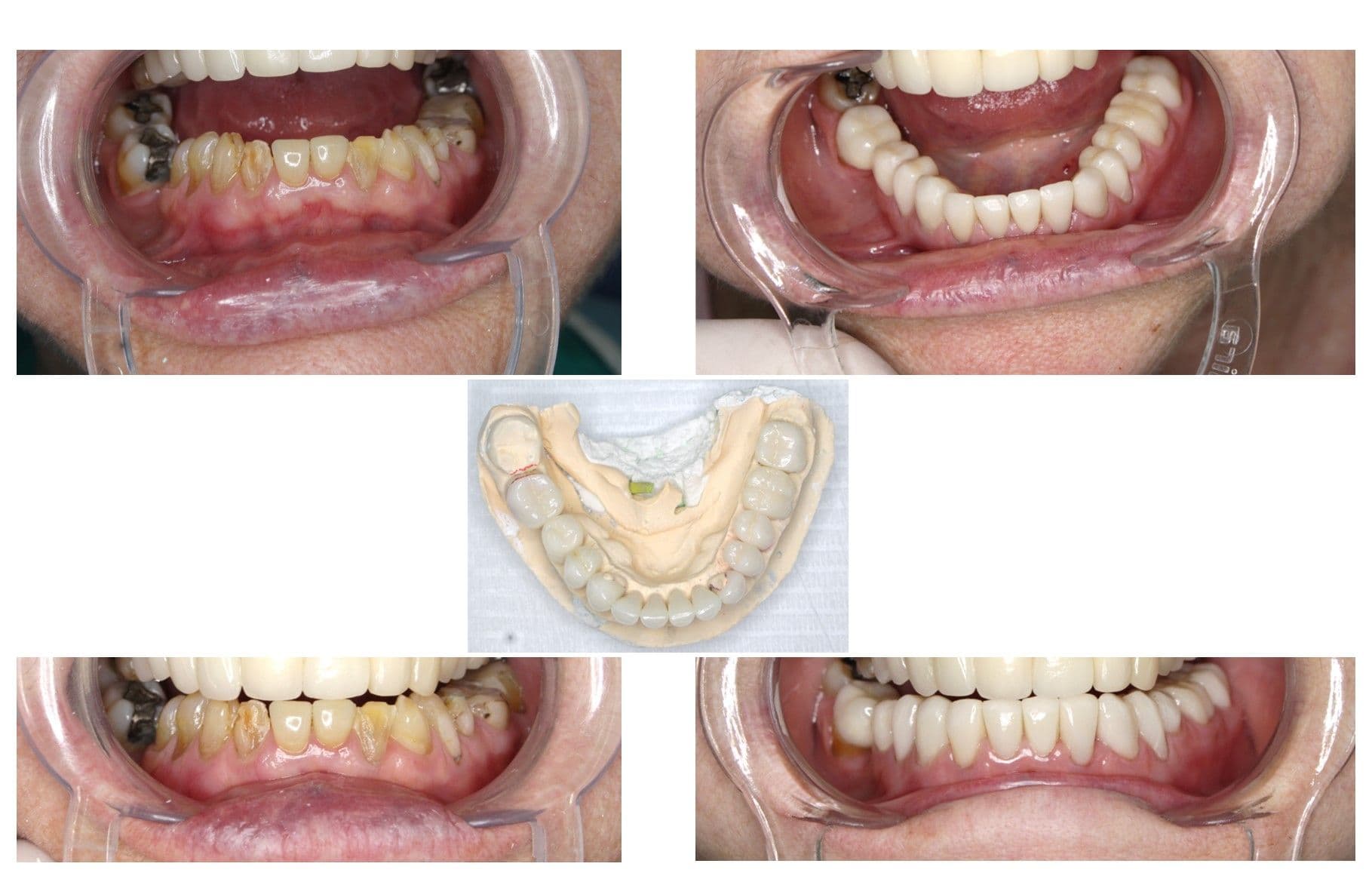
As lentes de contato dentárias são o tratamento ideal para a harmonização rápida do sorriso. Um tratamento que até pode dispensar a necessidade de anestesia, por ser apenas na superfície do dente. O formato, cor e alinhamento dos dentes podem ser alterados para melhor estética e mastigação e sem precisar cirurgias ou aparelhos ortodônticos.

Agendar agora!

Vantagens do Tratamento

Planejamento Personalizado

Para confecção da Facetas realizamos um planejamento personalizado para cada caso. O tamanho, formato e cor não serão uma surpresa ao final do tratamento, pois tudo é planejado com antecedência. Em alguns casos, o planejamento é totalmente digital, através do escaneamento intra-oral e manipulação digital do sorriso. Em outros casos, o planejamento é físico, com a aplicação de um molde provisório na boca, sem nenhum desgaste dental, para simular o resultado final. Tudo personalizado para você, a partir de sua necessidade e vontade.

Escaneamento Intra-oral

Não há maneira mais moderna de confecionar Lentes de Contato do que através do fluxo totalmente digital: Escaneamento intra-oral que digitaliza a boca em 3D; serve tanto para o planejamento digital do tratamento como também para a confecção das Lentes. Elas serão construídas através de técnicas de impressão 3D ou de fresagem, gerando a melhor adaptação possível, e completa previsibilidade no tratamento.

Laboratório parceiro

Temos como parceria um ótimo laboratório que nos entrega trabalhos impecáveis e de ótima qualidade com agilidade. O laboratório é igualmente bem equipado no fluxo de planejamento digital do sorriso.

Opção de materiais

Oferecemos opções de materiais que melhor se encaixam em cada necessidade. Para as resinas, trabalhamos com materiais de ótima qualidade, como a Resina 3M ESPE e para as porcelanas temos a disposição as Porcelanas E-max feitas no fluxo digital por um laboratório moderno.

Você Merece o Melhor Sorriso!

Agendar agora